KONZÍLIUM
2010 október
A Bechterew-kórtól előrehajló, s így alulról felfelé néző tekintetében keveredett a testi fájdalom és a sunyiság, ahogy a fiatal orvos érzelmeiben a kötelességnek tudott elfogulatlanság meg az ellenszenv. „Akárhogy takargatom, minden meglátszik rajtam – panaszolta évekkel korábban a professzorának –, de néha nem is bánom… lehet, hogy aki mindenkivel egyformán szolidáris meg segítőkész, valójában közömbös…” A mondat félúton tűnődővé szelídült, mintha kérdezné a tapasztaltabbat. Nem kellett volna. A kioktatás nem lett szerethetőbb az öreg mosolyától. „Nem az érzelmeiddel van baj. Túl sokat okoskodsz. Mit mérlegelsz?, nem bíró vagy, hanem orvos! Én sohasem ítéltem ilyennek vagy olyannak a betegeimet.” Dehogynem! – gondolta akkor, pár nappal a szakvizsgája után, hiszen éppen a főnöktől hallott romantikus történet bátorította vallomásra. Hogy az egykori szadista tiszt – keretlegény vagy ávéhás vallató, mindegy – betegként kerül orvossá lett kínzottjához.
gyerekes képzelgés
Milyen zöldfülűen bedőlt a giccsnek! Mélyen átélte és komolyan latolgatta, tudna-e ő ilyen helyzetben zavartalanul anamnézist készíteni, magában el is játszott jeleneteket – csakhogy neki sohasem akadt dolga szadista tisztekkel. Talán a professzornak se. Giccs, mondta rá, giccs, mintha vicsorogna. Valami mégis leülepedett, beleragadt. A gyerekes képzelgés, úgy látszik, nem nőhető ki, az egyetemi oktatásnak és a romantikát nélkülöző gyakorlatnak sem sikerült leszoktatnia. Titkon még el-elgondolt drámai találkozásokat. Avult minták szerint, sablanosan. Hiába nem voltak életszerűek, azért elgondolta. A fanyar, vagy inkább kesernyés kísérő íz legalább újdonság.
A Bechterew-kóros keményen kopogott az orvosi szoba ajtaján.
– Nem alkalmatlan? – kérdezte alázatos agresszivitással.
Nemcsak a törzse dőlt előre mereven, a nyakát sem mozgatta, tekintete így kínosan erőlködött felfelé. Negyvenes éveinek végén járhatott. Régimódi, öreguras, lötyögő szövetnadrágot és csiptetős nadrágtartót viselt. Meg vajszínű nyári inget, magas szárú, tépőzáras cipőt. Nem kopaszodott és nem őszült, de vörös haja lángolása láthatóan megkopott. Csupasz állát mintha sohasem kellene borotválni, vastag, fehér bőrű karja is szinte szőrtelen. Nagy, barna papírzacskót tartott maga előtt.

– Ide küldtek… nem alkalmatlan? Itt vannak a leleteim. De ezekkel ne fáradjon túl sokat! Eljöttem. A magam részéről megteszem, ami lehetséges…
Késő délután volt, az ügyeletes orvos nem kérdezte, honnan küldték, ki és kinek címezte a beutalót – egyáltalán: van-e beutalója. Szélesebbre tárta az ajtót, oldalra lépett.
– Parancsoljon!
Fájdalom és sunyiság keveredett a beteg szemében, és elégedett, szinte kaján gonoszság is.
– Eddig megvolnánk – mormolta.
– Hogy? – hökkent vissza az orvos.
– Csak azt mondtam, köszönöm.
Nem akart leülni.
– Legyen szíves!… Bizonyára tudja, hogy gyógyulással nem kecsegtethetjük, de kezelésekkel javíthatunk az állapotán… a tünetek enyhítése…
bűzös izzasztókamra
A látogató leereszkedett az egyetlen kárpitozott szék szélére. Az orvos a pokróccal borított heverőre ült, a zacskóból kihúzott röntgenfilmeket nézte. A kicsi szoba egy perc alatt bűzös izzasztókamra lett – a doktor felpattant, kinyitotta az ablakot, kapkodó mozdulatai talán nem voltak sértőek, mintha nem friss levegőt, hanem jobb világítást keresne. De már alkonyodott.
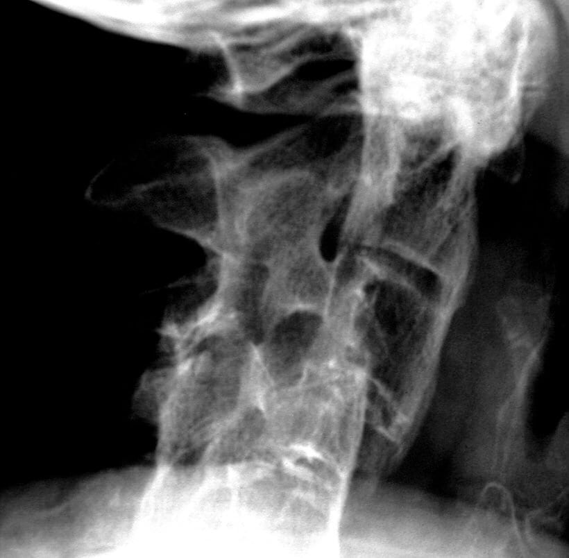
– Uram, ezek nem az ön felvételei… itt valami tévedés lesz…
– Csakugyan?
– Ez egy gyerek gerince… a koponya és a csípőkép pedig…
– Csakugyan?
Fölényesen és élesen kérdezte, holott nehézkesen, fulladozva lélegzett, és a hangja váladékokon át bugyborgott.
– Mondtam, hogy ne fárassza magát. Hagyja azokat a felvételeket! A nyavalyámon sem segíthet. A fájdalom megszokható. Nem keresek magamnak már másféle formát. Ilyen vagyok. Ön intelligens ember, gondolom, fél szóból is megért.
– Mit kíván tőlem?… Igaza van, szükségtelen fontoskodás volna alapvizsgálatokat végeztetni… látom… hallom, hogy légzési… nyilván már keringési gondok is jelentkeztek önnél… pontosan tudja, mik a lehetőségeim… ismeri a saját betegségét… talán jobban, mint akármelyik szakorvos… Nem beszélek a fizikoterápiás kezelések meg a gyógytorna szükségességéről, de egy roboráló kórházi kúra… nem gondolok hosszú bentfekvésre… legfeljebb négy-öt nap… az ilyesmi általában használ… szinten tart… olykor jelentékenyen javítja az életminőséget…
A beteg most nem nézett felfelé, ültéből nem is láthatta az álló orvos arcát. Apró biccentésekkel jelezte, hogy mindent hall, s mikor közbevágott, nyomatékosan előretartotta a kezét. Aránytalanul nagy tenyerén vörös lángnyelv. Festés vagy tetoválás.

– Egyágyas szobát bizonyára nem adnak csak úgy. Megfizetni nem tudom. Márpedig senkitől sem várható el, hogy velem egy helyiségben… Különben ne feszélyezze magát, nyissa ki az ajtót is, csináljon kereszthuzatot! E pillanatban mintha ön, doktor úr, rosszabb állapotban volna, mint én… valósággal fuldoklik… Nincs itt valami szesz?… Egy korty konyak vagy vodka például… mert ammónium-karbonát… költőien szólva: repülősó, ugye, hogyan is lehetne az orvosi szobájában?! Az ájuldozás ma már nem divat, hát még az ellenszere… Egyébként igazán nem akartam megbántani… nem próbálok orvosi tanácsot adni… egy kis alkohol segít, legalábbis nem árt, igaz?… Higgye el, ezt az erős, kénes szagot én is rosszul tűröm… még mindig hat rám… A betegségem kezdetén sokat izzadtam… Jellemző tünet, tudom, mint az íriszgyulladás meg… Ismét elnézését kérem. Tudálékosság. Meg bizonyára észrevette, hogy hajlamos vagyok a szereptévesztésre… Persze a közönséges verejtékezés nem téveszthető össze ezzel a kipárolgással… Amíg állok, nincs baj, de taxiba, mondjuk, nem ülnék… Jobban van?
– Megbocsásson… vizitelnem kell… ha nincs szüksége rám, elköszönnék!
A látogató pár pillanatig nem mozdult, nem válaszolt.
– Mehetünk?! – noszogatta az orvos.
Sohasem került még ilyen kiszolgáltatott helyzetbe. A végén kénytelen lesz megemelni és kivezetni. Nem kérhet segítséget egy beteggel szemben.
– Nos, ha később meggondolja magát…
– Meggondolásra én buzdíthatnám, doktor úr… s miután most itt vagyok, önt pedig hamarosan szólítja a kötelesség, ésszerű volna, ha mielőbb a lényegre térnénk.
Az orvos ösztönösen hátralépett, dereka az ablak belső párkányát érte.
– Menjünk, kérem!
– Menjünk?! És a kérdései… helyesebben: a kétségei? Érvénytelenek talán? Vagy giccsesek? Mi lett a kétségeivel?
reszketett és bűzölgött a senkiföldje
Megpróbált újra alulról felfelé nézni. Nem találkozott a tekintetük. Az orvos a párkány alatti radiátorba kapaszkodott, s ahogy hátranyúlt, enyhén előredöntötte a törzsét, mintha versenyfutáshoz készülne. Két hasonló tartású alak, egymással szemközt, bár éppen a szemük között izzott, reszketett és bűzölgött a senkiföldje. Az orvos feszülten figyelte a másik fújtatását, villámgyors váltásait: kíméletlen iróniából szánalom-koldulásba, fecsegésből felcsattanásba, és vissza. Az egész együtt mégis gyötrelmesen lassú, vagy inkább időtlen volt. Mióta ül ez itt? Tíz perce, két órája?
– Látja, milyen keservesen mozgok, minden szó kiejtése nehezemre esik, de nem panaszkodom. Számítok orvosi tapintatára. Beszéljen úgy, mintha észre se venné a nyavalyámat!
Az orvos meggondolás nélkül vágott át a kis szobán, ablaktól az ajtóig nem több hat lépésnél, de ahogy az ültében előregörnyedő mellett ellépett, megborzongatta valami sejtelemféle, hogy a tetovált mancs most belemarkol.
Kitárta az ajtót, nem fordult vissza a körülményesen feltápászkodó felé, túl hangosan mondta, valósággal világgá kürtölte:
– Nem tehetek többet önért!
– Sajnálom… mást vártam… minden más lett.
Az orvos keményen, szótlanul bólintott. Megvárta, míg látogatója beszáll a liftbe.
A kárpitozott szék szélén még látni vélte a torz test lenyomatát. A pokróccal borított heverőn pedig kétségtelenül ott volt a barna papírzacskó, zárójelentésékkel, röntgenfelvételekkel. Irattárba nem tehető – őrizze, kidobja?